
SCANNER CONFOCAL EIDON - iCARE (FINLANDA)

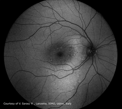
Sistemul EIDON de la iCare (Centervue) reprezintă noua generaÈ›ie de fundus camera, fiind primul sistem ce combină avantajele SLO cu fidelitatea imaginilor cu culori reale. EIDON este un scanner confocal (nu un fundus camera obiÈ™nuit) ce oferă o calitate a imaginii de neegalat, 60° într-o singură expunere, o imagine unică, reală, confocală a retinei, utilizare non-midriatică cu 3 modalități diferite de imagistică, deschizând astfel, noi oportunități în diagnosticarea problemelor de retină.
​
Varietate
EIDON este scanner-ul dvs confocal de bază, fără posibilitatea efectuării imagisticii AF (autofluorescență) sau AFG (angiofluorografie).
Acest scanner poate captura imagini ale retinei de o calitate superioară: claritate crescută, rezoluție optică mai bună și un contrast ridicat.
​
EIDON AF reprezintă evoluÈ›ia naturală a modelului EIDON, incluzând toate caracteristicile È™i funcÈ›ionalitățile sale, păstrând calitatea de neegalat a imaginii È™i adăugând autofluorescenÈ›a în capabilitățile sale de imagistică.
​
EIDON FA reprezintă combinaÈ›ia între modelul EIDON AF păstrând în mode evident toate calitățile de neegalat a imaginii È™i adăugând pe lângă autofluorescență È™i angiofluorografia în capabilitățile sale de imagistică.
Toată familia EIDON are capacitatea de a obține mai multe tipuri de informații de mare valoare din mai multe modalități de imagistică cu următoarele avantaje:
-
Iluminarea albă este capabilă să furnizeze imagini de înaltă calitate "True Color" - culori reale
-
Filtru roșu este util pentru a spori detaliul vascularizației retiniene și stratul fibrelor nervoase retiniene
-
Lumina infraroșie furnizează informații corespunzătoare coroidei
-
Capacitatea de penetrare a cataractei sau a mediilor opacifiate datorate tehnologiei confocale
-
Utilizare fără dilatarea pupilei (non-midriatic).
-
Expunere optimă a discului optic.
-
Tehnologie White Light si SLO (Scanning LED Ophthalmoscopy )
-
Unghi de scanare de 60°, posibilitatea de imagine până la 200° cu noua lentila Ultra WideField.
-
Timpul de examinare sub 1 minut pentru un ochi (Single Field)
-
Comutarea modului din complet automat în complet manual sau combinare de funcÈ›ii automate È™i manuale
-
Interfața ușor de utilizat
-
AutofluorescenÈ›a permite evaluarea epiteliului pigmentar retinian (EPR) - doar în cazul Eidon AF
-
Explorarea È™i înÈ›elegerea mecanismelor fluxului sanguin din vasele retiniene cu ajutorul Fluoroangiografiei dinamice - doar în cazul Eidon FA
Imagini HD cu noua lentilă Ultra WideField
​
Optica EIDON Ultra WideField (UWF) cu un unghi de până la 200° permite vizualizarea retinei centrale dar È™i a perfieriei acesteia. Aplicarea tehnologiei confocale TrueColor EIDON este crucială întrucât permite detecÈ›ia, analiza È™i monitorizarea patologiilor care s-ar putea regăsi în periferia retinei. Tehnologia UWF permite păstrarea acurateÈ›ii È™i detaliilor chiar È™i în periferie facilitând astfel un diagnostic timpuriu.




Specificații tehnice
Captură imagine
-
Câmp vizual standard: 60° x 55°
-
Câmp vizual cu lentilă UWF: 120° single shot & 200° Mosaic
-
Non midriatic (2,5 mm diametru minim pupilă)
-
Distanță de lucru: 28 mm
-
Dimensiunea senzorului: 14 mega-pixel (4608 x 3288)
-
Rezoluție: 60 pixel / deg
-
Spectru de lumină albă variabil: 440-650 nm
-
Spectru de lumină albastră variabil: 440-475 nm
-
Spectru de lumină infraroșu variabil: 825-870 nm
-
Interfață ușor de utilizat bazată pe tabletă
-
Rezoluție optică pe retină: 15 microni
-
Diviziunea pixelilor: 4.9 microni
Dimensiuni:
-
Greutate: 25 kg (55 lbs)
-
Dimensiuni: 62 x 59 x 36 cm (24 "x 23" x 14 ")
Alte caracteristici:
-
Modalități de imagistica: color, IR, red-free, autoflorescență
-
Funcționare automată: auto-aliniere, auto-focus, auto-expunere, auto-captare imagine
-
Auto-focalizare gama de reglare: -12D la +15D
-
Unitate de stocare: SSD 256 GB
Alimentare electrică:
-
100-240 VAC, 50-60 Hz
-
Consum de energie: 80W
-
Descărcați broșura Eidon





![]() | ![]() | ![]() | ![]() | ![]() | ![]() |
|---|---|---|---|---|---|
![]() | ![]() | ![]() | ![]() | ![]() | ![]() |
![]() | ![]() | ![]() | ![]() |

















